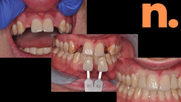
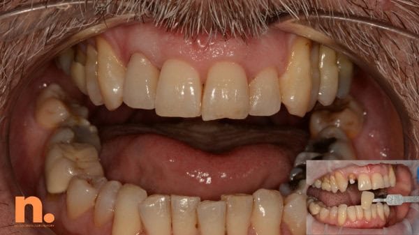
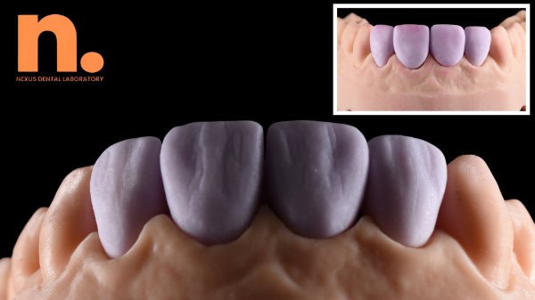
At Nexus Dental Laboratory, we are dedicated to revolutionising the dental industry with our cutting-edge restorative solutions and streamlined workflows. Our ultimate goal is to eliminate unnecessary surgery time while delivering unparalleled efficiency and innovation. By leveraging the latest technologies and materials, we strive to exceed patient expectations and provide the highest levels of satisfaction.